Hammaskiven poisto
Kissojen ja koirien hammashoitoon kuuluu hammaskiven poiston lisäksi koko suun röntgenkuvaus sekä hammastarkastus. Hammashoitoa varten eläin täytyy nukuttaa, jotta suu ja jokainen hammas saadaan tarkistettua huolellisesti, sekä hampaat röntgenkuvattua.

Hammashoito — turvallisessa anestesiassa
Loistossa hammashoidot tehdään aina inhalaatioanestesiassa ja eläinlääkärin lisäksi anestesiaa on valvomassa koulutettu klinikkaeläinhoitaja. Käytössämme on nykyaikainen laitteisto anestesian ylläpitoon ja valvontaan.
Jokaiselle lemmikille tehdään yksilöllinen anestesiasuunnitelma, missä huomioidaan mm. ikä, rotu ja mahdolliset perussairaudet. Anestesian aikana seuraamme mm. sydämen ja hengityselimistön toimintaa, verenpainetta sekä ruumiinlämpöä. Voimme vaikuttaa anestesiaturvallisuuteen mm. anestesian syvyyttä säätelemällä sekä erilaisilla lääkkeillä ja lääkeinfuusioilla. Hengitystä voidaan tarvittaessa avustaa ventilaattorin avulla.
Anestesian valvontaan kuuluu lemmikin heräämisen seuranta.
Perushammashoitomme sisältää
Hammaskiven poisto
Hammaskiven poisto tehdään pääosin ultraäänellä toimivalla hammaskivenpoistolaitteella. Joskus eläinlääkäri käyttää lisäksi käsi-instrumentteja. Hammaskivi poistetaan hampaiden kruunuista ja ientaskuista, jonka jälkeen hampaiden pinta kiillotetaan.


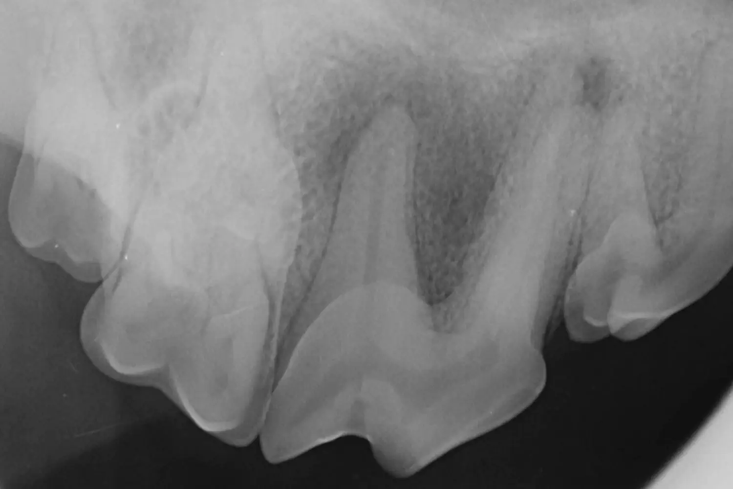
Hammasröntgen
Hammasröntgentutkimus on oleellinen osa hammashoitoa. Hammasröntgenillä nähdään myös hampaiden juurialue ja hampaiden sisäosien rakenteita. Noin kolmannes löydöksistä näkyy vain röntgenkuvissa. Hammasröntgentutkimus tukee hammastarkastuksen löydöksiä, jolloin saadaan kattava ja kokonaisvaltainen tieto suun tilanteesta ja voidaan tehdä yksilöllinen hoitosuunnitelma.
Loistossa on käytössä lisäksi kartiokeilatietokonetomografia (CBCT), joka antaa tarkan kolmiulotteisen kuvan suun luisista rakenteista. CBCT-kuvien avulla voidaan tarvittaessa parantaa diagnostiikkaa.
Suun ja hampaiden tarkastus
Hammashoitoon kuuluu aina suun ja hampaiden tarkastus sekä purennan arviointi. Eläinlääkäri tarkastaa jokaisen hampaan erikseen ja löydökset kirjataan hammaskarttaan. Lisäksi tutkitaan kieli, limakalvot ja nielu.

Hammashoidon hinta alkaen 360 €
Hammashoitopäivänä
Ennen hammashoitoa perusterveen, aikuisen lemmikin tulee olla 6–8 tuntia syömättä. Vettä tulee olla vapaasti tarjolla. Mikäli potilaana on pentu, tai lemmikki jolla on perussairaus tai lääkitys, olethan yhteydessä klinikalle ennen hammashoitoa, jotta voimme antaa lemmikillesi yksiölliset paasto- ja lääkitysohjeet. Koira käytetään normaalisti tarpeillaan ennen hammashoitoon tuloa.
Joustavat järjestelyt hoitopäivän sujuvoittamiseksi
Pyrimme hoitamaan hammaspotilaat viimeistään alkuiltapäivästä, jotta potilaat ehtivät toipua hyvin anestesiasta ennen kotiutusta.
Hammashoitoon kuluvaa aikaa on usein mahdoton tietää etukäteen. Hoitojen kesto ajoittuu yleensä 1–3 tunnin välille. Päivän sujuvoittamiseksi otamme hammashoitoon tulevat potilaat sisälle aamulla, mutta myös iltapäivälle on mahdollista saada aika esim. maitohampaiden poistoon.
Pääsääntöisesti lemmikit odottavat rauhallisena vuoroaan heräämöosastolla. Mikäli lemmikkisi ei jostain syystä (esim. eroahdistus, aggressiivisuus) pysty odottamaan hoitovuoroaan klinikalla, sovitaan sille päivän ensimmäinen hoitoaika ja lemmikki saa esilääkityksen omistajan läsnä ollessa.

Säännöllinen hammashoito pitää lemmikin suun terveenä
Suurimmalle osalle kissoista ja koirista suositellaan hammashoitoa vuosittain, etenkin jos suussa on esimerkiksi parodontiittiin eli hampaan kiinnityskudoksen tulehdukseen tai hammassyöpymään liittyviä muutoksia tai lohjenneita hampaita. Säännöllisellä hammashoidolla on tarkoitus ennaltaehkäistä hammassairauksien syntymistä ja etenemistä.
Milloin hammashoitoon?
Suussa esiintyvät tulehdukset vaikuttavat lisäksi yleiseen terveyteen ja esimerkiksi perussairauksien hoitotasapainoon. Huonokuntoinen suu voi olla kipeä, vaikka eläin syö normaalisti.
Tutkimustiedon mukaan ensimmäinen hammashoito olisi hyvä tehdä 2–3 vuoden iässä, vaikka suussa ei vielä silminnähtäviä ongelmia havaittaisikaan. Kaikki hoitoa vaativat hammasongelmat eivät ole nähtävissä ilman hammastarkastusta ja röntgenkuvausta.
Hammaskivi ja ientulehdus lisäävät leikkausinfektioriskiä, jonka vuoksi suosittelemme hammashoitoa ennen leikkaustoimenpiteitä.


