Lonkkanivelen kasvuhäiriö eli lonkkaniveldysplasia (eng. hip dysplasia, HD) on yksi yleisimmistä koirien luuston ja nivelten ongelmista. Kasvuhäiriötä esiintyy kaikilla roduilla, mutta yleisimmin sitä esiintyy suuri- ja jättirotuisilla koirilla, kuten saksanpaimenkoirilla, rottweilereilla sekä labradorinnoutajilla.
Lonkkien kasvuhäiriö johtaa usein nivelrikkoon, josta taas on seurauksena eriasteista kipua. Toistaiseksi lonkkien kasvuhäiriön perimmäinen syy on epäselvä. Vaikka alttius lonkkaniveldysplasiaan on perinnöllistä, on ympäristötekijöillä mahdollista vaikuttaa kasvuhäiriön kehittymiseen sekä vaikeusasteeseen.
Lonkkien rakenne ja kehitys
Lonkkanivel koostuu lonkkamaljasta sekä reisiluun päästä. Reisiluun päästä lonkkamaljan pohjaan kulkee ligamentti, joka osaltaan pitää reisiluunpäätä lonkkamaljassa. Muita lonkkaniveltä tukevia rakenteita ovat muun muassa niveltä ympäröivä nivelkapseli, lonkkaa ympäröivät lihakset sekä reisiluunpään ja lonkkamaljan yhteensopivuus. Sekä lonkkamaljassa että reisiluunpäässä on lasirustoa eli hyaliinirustoa, joka vähentää kitkaa ja toimii iskunvaimentimena koiran liikkuessa. Lasiruston lisäksi kitkaa vähentää myös nivelen sisältämä nivelneste.
Pennuilla on syntyessään normaalit lonkat, eli reisiluunpäät ovat yhteensopivat lonkkamaljojen kanssa. Ensimmäiset kasvuhäiriöön viittaavat nivelmuutokset voidaan kuitenkin nähdä jo 30 päivän ikäisellä pennulla. Vallitsevan käsityksen mukaan merkittävä tekijä lonkan kasvuhäiriön kehittymisessä on nivelen löysyys, jolloin reisiluunpää pääsee liikkumaan epänormaalisti lonkkamaljassa. Tämän seurauksena lonkkamalja alkaa muotoutua vääränlaiseksi.
Kun reisiluunpää ja lonkkamalja eivät ole enää yhteensopivat, reisiluunpää kohdistaa lonkkamaljan reunaan epänormaalin suuren paineen koiran varatessa painoa jalalle. Tämä voi aiheuttaa lonkkamaljan reunaan pienenpieniä murtumia sekä johtaa lopulta lonkkamaljan mataloitumiseen ja lonkan osittaiseen tai täydelliseen sijoiltaanmenoon. Toistuvan osittaisen tai täydellisen sijoiltaanmenon seurauksena lonkkaan alkaa yleensä kehittyä nivelrikkoa. Alttius nivelrikolle ja nivelrikon etenemisnopeus vaihtelevat rotu- ja yksilökohtaisesti.

Lihasten lisäksi lonkkaa tukevia rakenteita ovat mm. reisiluun päästä pohjaan kulkeva ligamentti, reisiluun pään ja lonkkamaljan yhteensopivuus sekä niveltä ympäröivä nivelkapseli.
Kuinka koiran lonkkavika oireilee?
Lonkkanivelen kasvuhäiriön oireet voivat vaihdella lievästä epämukavuudesta vakavaan akuuttiin tai krooniseen kipuun. Ensimmäiset lonkan kasvuhäiriön oireet ilmenevät yleensä 4–12 kuukauden iässä. Oireena voi olla rasituksen sietokyvyn lasku, istuskelu toisten leikkiessä, haluttomuus hypätä tai kiivetä portaita sekä takajalkojen lyhyet askeleet tai niin kutsuttu pupulaukka. Pupulaukassa koiran takajalat liikkuvat yhtä aikaa, jolloin lonkkien ei tarvitse tehdä niin paljon töitä, eikä niveleen tule niin suurta venytystä, kuin normaalissa laukassa.
Koiran liikkuessa lonkasta voi kuulua myös naksahdus reisiluunpään lähtiessä pois lonkkamaljasta ja palatessa takaisin. Ontumaa ei välttämättä havaita, sillä sairaus on usein molemminpuolinen, jolloin molemmat takajalat ovat kipeitä. Tällöin koira voi siirtää painoa etujaloille, jolloin etujalkojen lihaksisto voi olla paremmin kehittynyt takajalkojen lihaksiin verrattuna tai koira voi pitää päätään selkälinjan tasalla tai sen alapuolella tasapainottaakseen itseään.
Oireet lievenevät usein vuoden ikään mennessä. Tämä ei johdu sairauden parantumisesta, vaan elimistön yrityksestä parantaa kipeää lonkkaa: nivelkapseli paksuntuu ja niveltä ympäröivät kudokset alkavat sidekudostua, jotta ne tukisivat löysää lonkkaa paremmin. Koira voi olla oireeton jopa vuosia, kunnes lonkkiin kehittynyt nivelrikkoa alkaa vaivata.
Nivelrikkoinen koira on jäykkä ja ontuu usein levon jälkeen. Levolta noustessa ontuma helpottaa muutaman askeleen jälkeen. Nivelrikossa niveleen muodostuu luupiikkejä, jotka rajoittavat lonkan liikelaajuutta. Rajoittunut nivelen liikelaajuus näkyy usein peitsaamisena tai pupulaukkana. Kuten nuori oireileva koira, myös vanhempi lonkistaan kipeä koira siirtää painoa etujaloille.
Lonkkaniveldysplasian diagnoosi ja hoito
Mikäli epäilet koirallasi lonkkanivelen kasvuhäiriötä, on syytä varata aika eläinlääkärille tutkimukseen. Eläinlääkärissä koiralle tehdään ontumatutkimus, jossa tarkistetaan koiran liikkeet sekä käydään läpi nivelet, luut ja lihakset. Ontumatutkimuksen tarkoitus on löytää kipukohta sekä sulkea pois muita takajalkojen ontumien syitä, kuten ristisidevaurio tai panosteiitti. Ontumatutkimuksen jälkeen koira rauhoitetaan, jotta voidaan kokeilla lonkkanivelen löysyyttä ja ottaa tarvittavat röntgenkuvat.
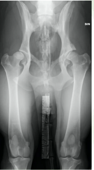
Röntgenkuva otetaan koiran ollessa selällään. Koiran jalat vedetään suoraksi taakse, jolloin nivelkapseli kiertyy ja tämän seurauksena osittain kiristyy. Nivelkapselin kiristyessä reisiluunpää pysyy paremmin lonkkamaljassa, joten normaalit röntgenkuvat eivät yksinään riitä lievän lonkan kasvuhäiriön tunnistamiseen. Lisätietoa kasvuhäiriöstä antaa niin kutsutut loitonnuskuvat. Loitonnuskuvissa koiran reisiluiden väliin asetetaan laite, jolla reisiluun päitä saadaan työnnettyä pois lonkkamaljasta. Normaali, terve lonkka ei juurikaan liiku paikoiltaan, mutta löysä lonkka liikkuu.
Konservatiivinen hoito on yleensä ensisijainen hoitovaihtoehto kaikissa sairauden vaiheissa. Konservatiivisella hoidolla tarkoitetaan akuuttivaiheessa lepoa ja kipulääkkeen antamista. Akuutin vaiheen jälkeen liikunnan tulee olla säännöllistä, repiviä treenejä tai yhtäkkistä kovaa rasitusta tulee välttää. Painoon tulee kiinnittää huomiota, sillä ylipaino rasittaa kipeitä niveliä entisestään. Myös fysioterapiasta on todettu olevan apua, sillä fysioterapialla saadaan ylläpidettyä lihaskuntoa sekä nivelten oikeaa liikerataa.

Lonkkanivelen kasvuhäiriö diagnosoidaan useimmiten selällään otettavista röntgenkuvista.
Lonkan kasvuhäiriötä voidaan hoitaa myös kirurgisesti
Kasvavalle koiralle voidaan harkita ”ennaltaehkäisevää kirurgiaa”, kuten lantion häpyluun lämpöluudutusta. Häpyluun lämpöluudutuksen ajatuksena on luuduttaa lantion alaosan häpyluuliitos, jolloin muiden lantion luiden jatkaessa kehitystään lonkkamalja kääntyy enemmän reisiluun pään päälle estäen reisiluunpään sijoiltaanmenon.
Lämpöluudutus voidaan tehdä pennuille, joilla on ontumatutkimuksessa todettu lonkkien löysyyttä. Toimenpide tulisi tehdä viimeistään 20 viikon iässä, mieluummin jo 16 viikon ikään mennessä. Toimenpiteen etuna voidaan pitää sitä, että kyseessä on suhteellisen pieni toimenpide. Haittapuolena tulee mainita, ettei leikkaus välttämättä ole riittävä keino pelastaa lonkkanivelen kehitystä, ja lonkkanivelet voivat jäädä löysiksi toimenpiteestä huolimatta.
Lämpöluudutusleikkauksella hoidetuista koirista ei anneta virallista lonkkalausunto Kennelliitosta, sillä leikkaus vaikuttaa lantion rakenteeseen ja estää lonkan kasvuhäiriön arviointia lonkkakuvista.
Täysikasvuiselle koiralle voidaan tarvittaessa tehdä lonkkaproteesi. Proteesileikkauksessa lonkkamaljan nivelpinta sekä reisiluun pää ja kaula poistetaan ja tilalle laitetaan implantit. Proteesileikkauksen etuna on jalan toiminnallisuuden palautuminen sekä toipumisvaiheen jälkeen kivuton lonkka. Leikkaus on kuitenkin iso ja kohtalaisen arvokas. Proteesipotilaiden tulee myös käydä vuosittain kontrolleissa, joissa mm. röntgenkuvin varmistetaan implanttien ehjyys ja oikea asento.
Miten lonkkien kasvuhäiriötä voi estää?
Koska tarkkaa syytä lonkan kasvuhäiriön syntyyn ei tiedetä, ei voida tarkalleen sanoa, kuinka sairautta voidaan estää. Alttius lonkkien kehityshäiriölle periytyy, ja jalostuksella voidaan jossain määrin vaikuttaa kasvuhäiriön esiintymiseen. Jalostuksen apuna voidaan käyttää mm. jalostusarvoindeksejä (BLUP-indeksi). Ympäristötekijöiden on myös todettu vaikuttavan jonkin verran lonkan kasvuhäiriön ilmenemiseen ja vaikeusasteeseen. Ympäristötekijöitä ovat mm. ruokinta, paino ja liikunta.
Oikealla kalsiumin ja fosforin suhteella on todettu olevan merkitystä luun normaalin kasvun ja kehityksen kannalta. Suurin osa elimistön kalsiumista ja fosforista onkin luissa. Ruokinta vaikuttaa myös koiran kasvuun ja painoon: nopean kasvun ja ylipainon onkin useissa tutkimuksissa todettu vaikuttavan lonkan kasvuhäiriön kehittymiseen koirilla, jotka ovat alttiita lonkan kasvuhäiriölle.
Sukupuolihormoneilla on joidenkin tutkimusten mukaan suojaava vaikutus lonkan kasvuhäiriötä vastaan. Tämän on ajateltu liittyvän pääosin siihen, että kastroiduille tai steriloiduille koirille kertyy herkästi ylipainoa. Suomessa koirat kastroidaan tai steriloidaan pääosin täysikasvuisina, mutta Yhdysvalloissa suositaan varhaiskastraatioita ja ‑sterilaatioita, jolloin koirat leikataan jopa alle viiden kuukauden ikäisenä.
Kuten aiemmin mainittu, reisilihakset tukevat lonkkaniveltä ja auttavat reisiluun päätä pysymään lonkkamaljassa. Erään teorian mukaan hyvä lihaskunto kasvuvaiheessa estää reisiluunpään osittaisen sijoiltaanmenon, jolloin lonkkamalja kehittyy normaalisti. Tervelonkkaisilla koirilla on todettu lihasmassan olevan suurempi kuin lonkkanivelen kasvuhäiriöstä kärsivillä koirilla. Tämä voi johtua myös siitä, ettei lonkistaan kipeä koira käytä takajalkojaan normaalisti.
Olisikin mielenkiintoista tietää, voiko hyvää lihaskuntoa ylläpitämällä estää lonkan kasvuhäiriötä tai lieventää sen vakavuusastetta.


